稀な腫瘍であるデスモイド腫瘍がおなかの中に見つかって手術したので、誰かの参考になればと思って記録しておく。
過去には稀な腫瘍の一つである脳腫瘍のグリオーマも経験しているので、おなかと頭の場合を比較する形で記載してみた。
ちなみにグリオーマは50万人に1人くらいの発生割合で、デスモイドは100万人に2~4人くらいらしい。どちらも1/50万の確率とすれば、この2つの腫瘍を持っているのは(1/50万)^2乗=1/2500億の確率ですね。

コロナ禍であったが運良く手術してもらえたけど、感染者が増えて病床が圧迫されると手術しなきゃいけない人ができなくなって、手遅れまたは悪化して手術の難易度が上がってしまうかもしれない。
路上飲みとか遊びに出かけて感染することは絶対に避けてくれ!
発見の経緯
どちらの腫瘍も自覚症状が出にくい。
- 腹腔内デスモイドのほうはかなり大きなサイズになってから、胃や腸を圧迫することで腹部膨満感として自覚された。腫瘍が小さいうちは気が付かない。
- グリオーマのほうも自覚症状は無く、たまたま発見されたもの。言語障害などの自覚症状が現れたら既にかなり進んでいるのではないか。
| 経過 | 腹腔内デスモイド | グリオーマ(脳腫瘍) |
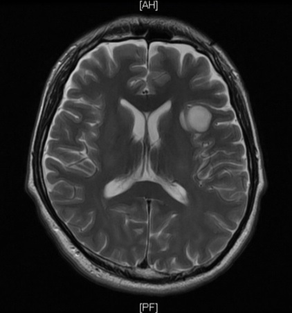
| 自覚症状 | 4月初めあたりから腹部膨満感があり、ガスがたまっていると思って薬局でビオフェルミンSを購入して様子を見ていた。2週間たっても改善されないため近所のかかりつけ医に診てもらうことに。 | 仕事のストレスからかめまいが起きるようになり地元の病院を受診。 【備忘録】グリオーマ・びまん性星細胞腫:脳腫瘍が発覚した経緯1 |
| 診断 | 触診で肋骨の下に固い感触があったためエコーで検査したところ、15cm級の腫瘤があるとのこと。肝臓や腎臓からは分離して見えるらしい(境界がはっきりしているので浸潤はなく良性腫瘍と思いたい)。大病院で診てもらったほうが良いとのことで、地元で大きな病院へ紹介してもらった。 大病院での診断ではすぐに摘出したほうが良いとのことで、コロナ禍かつゴールデンウィーク前のややこしい時期であったが手術をねじ込んでくれた。 なお、病理検査前の診断は「GISTの疑い」であった。 | 脳神経外科でめまいに関する検査を受けたが特に異常は無し。念のため頭部MRIを撮っておこうとなり、予約して後日検査したところ脳に直径22mmの腫瘍があることが発覚(ただし、めまい症状とは関係ないとのこと)。1か月後に再度造影剤ありのMRIを撮り、拡大がないことから悪性度は低いとの見立て。言語中枢に近いところに腫瘍があるため除去には覚醒下手術が必要で、この手術ができる大学病院を紹介してもらった。 さすがにヤバそうな病気のためセカンドオピニオンを受けたが同様の診断であった。 当初紹介された大学病院で診てもらい、摘出手術を受けることになった。 【備忘録】グリオーマ・びまん性星細胞腫:脳腫瘍が発覚した経緯2 |


手術前の検査
手術に至る方針決定はかなり違う。
- お腹の手術は、まず取ってみて病理検査して病名が明らかになってからがスタート、というノリ。
- 脳みその手術は、手術方針や手術計画を立てるために詳細な検査を実施する。
| 腹腔内デスモイド | グリオーマ(脳腫瘍) | |
| 検査 | 血液検査 尿検査 心電図 腹部レントゲン 肺レントゲン 造影剤無し腹部CT 造影剤あり腹部CT 上部消化管内視鏡(胃カメラ) (コロナ禍なのでPCR検査も) | 血液検査 心電図 レントゲン 造影剤あり頭部MRI fMRI(機能的MRI) 造影剤あり頭部CT メチオニンPET 言語テスト 知能テスト 作業療法リハビリ計画 言語リハビリ計画 |
| 所感 | 基本的にはとにかく腫瘍を取りきることを前提に事が進む。まず取ってみて病理検査して病名が明らかになってからがスタート、というノリ。脳腫瘍手術前の念入りな検査にくらべると不安がよぎるが、胃や腸を取りすぎても死にはしないので問題ないと考える。 | 術前検査のため2週間入院し集中して検査した。脳ミソの機能を発揮している部分を取ってしまうと社会復帰できないし不随になるリスクが高いので、悪性度の判定やどこまで取るかなどの手術方針や手術計画を立てるために詳細な検査を実施した。MRIは何度も撮影した。 【備忘録】グリオーマ・びまん性星細胞腫:検査入院 その1(検査項目) |
手術
覚醒下のほうが好き。
- 全身麻酔の手術では麻酔から覚めた時がつらい!
- 覚醒下の手術では状況が把握できているし、終わった後も局所麻酔の効果で幸せな気持ちになる。
| 腹腔内デスモイド | グリオーマ(脳腫瘍) | |
| 手術日 | 2021年4月30日 | 2013年6月23日 |
| 手術概要 | 開腹して腫瘍を取りだす。 とにかく残さず取る。 | 開頭して腫瘍を取りだす。 術前の検査で悪性度が低いとの見立てだったので、社会復帰に必要な脳機能(この場合は言語中枢)は完全に温存する。そのため取りきれないかもしれないことは事前に了承済み。 【備忘録】グリオーマ・びまん性星細胞腫:検査入院 その6(結果) |
| 麻酔 | 全身麻酔+硬膜外麻酔 ※硬膜外麻酔=背中から背骨の間にチューブを挿入して脊髄を覆っている硬膜に向かって麻酔薬を注入する方法で、手術後にも開腹部の痛みを取るために使用できる。・・・大きくお腹を切ったのでとてつもなく痛かったがこれが効いた!(おすすめ) | 手術開始~開頭まで:全身麻酔 脳腫瘍除去~終了:局所麻酔(覚醒下手術) ※覚醒下では麻酔医師が微妙なさじ加減で痛みがなく、かつ意識がある状態をキープしてくれる。・・・状況をリアルタイムで把握できるので安心! |
| 手術前 | へその掃除(オリーブオイル) へその下の除毛 前日21:00から絶食 前日寝る前に下剤を飲む(センノシド錠12mg) OS-1を当日朝6:00まで飲んでも良い 朝になって便が出なければ浣腸 | 当日朝6:00まで水を飲んでも良い |
| 手術中 | 9:00~昼過ぎまでかかったと思う。 心電図や点滴や硬膜外麻酔などの準備以降は全身麻酔で記憶なし。 腫瘍のサイズが大きいため胸元からへその下まで縦に大きく切って、へその上から横にも切った。 腫瘍が胃や膵臓や大腸に癒着と浸潤があり、胃は剥がした、膵臓は削った、大腸は5cmを切断してつないだ。 | 9:00~16:30までかかった。 心電図や点滴や硬膜外麻酔などの準備から開頭までは全身麻酔で記憶なし。腫瘍の取り出し以降は意識あり。 脳内のナビゲーションシステムとか凄そうなマシーンを使って、手術室にはたくさんの人が付いてくれていた。主治医と助手の脳神経外科医、麻酔科医師、手術室看護師、言語聴覚士、理学療法士、臨床検査技師。医学生たちの見学もあり。 腫瘍を取りだす際は目の前の画面に映されたモノの名前をずっと声に出してしゃべる。その間に電気刺激を与えて除去部分を探る。電極が言語中枢に触れると全く言葉が出なくなるので、ちょっとでも言葉に詰まると言語療法士がストップをかけるというやり方。 【備忘録】グリオーマ・びまん性星細胞腫:入院6日目(手術当日) |
| 手術後 | 麻酔から覚めて気が付いたら回復室にいた。 びっくりして戸惑うと同時にベッドの周りで看護師さんがいろいろ言ってくるけど、とにかく傷が痛くてそれどころじゃない。発熱もあって寒気がひどくて、体が緊張して震えることでさらに痛い! 「痛い!、寒い!」とやっとのことで伝え、硬膜外麻酔注入とベッドのヒーターONで楽になった。 回復室で様子を見た後、すぐに病棟へ戻った。 | 腫瘍除去から頭蓋骨の接合や皮膚の縫合、術後のCT検査まで意識があるので覚えているし、局所麻酔が効いているので痛くもない。麻酔から突如目覚める唐突感がないのでむしろ安心。 そのままICU(たまたま空いていた個室)に移動して手術の成功と関係してくれた人々へ感謝しながらゆったりと幸せな時間を過ごす。 |



術後の病棟~退院
結局、どちらもつらい!
- 内臓を切った場合は便が出るまで回復する必要がある。
- 開頭手術の場合は体は問題ないので痛みさえ問題なければ普通に歩けてご飯も食べれるが、てんかんの発作が出る可能性があるので投薬と観察が必要。
| 術後の経過日数 | 腹腔内デスモイド | グリオーマ(脳腫瘍) |
| 1日目 | さっそく立ち上がる練習をするが、起き上がって十数秒すると頭がグワングワン回って無理。歯や肩も痛いし、血が足りないせいだと思う。 めまいがするのは硬膜外麻酔のせいかもしれないとのことで、注入量をレベル6→4に減量。そうすると切った傷が痛いので点滴で鎮痛剤を投与。 鎮痛剤が効いても傷がズーンと重い。ベッドに寝た状態からは動けない。 まだ水を飲めなくてのどが渇くのでうがいをしてもらってしのぐ。 | 術後の翌日昼までICUで手厚く看病され、その後病棟へ戻った。 経口で水が飲めるように。 造影剤ありのMRI検査があるので昼食は抜き。なんか食べたい気分。 看護師さんの付き添いで病室を歩いてみたけど問題なし。 骨髄液のドレンチューブが抜けた。 尿管チューブが抜けた。トイレでおしっこするとしみて痛い。 MRIのあと、病院内のファミリーマートでサンドイッチとヨーグルトとか買って食べた。 夕食はお粥と普通のおかず。 アタマの傷の痛みは鎮痛剤を飲んでしのぐ。 【備忘録】グリオーマ・びまん性星細胞腫:入院7日目(ICUから病棟へ) |
| 2日目 | 硬膜外麻酔のアナペイン+フェンタニルが無くなったため終了、背中のチューブを抜いてもらう。 経口でお茶を飲めることに。すごく美味い! 看護師さんについてもらって歩行の練習をする、洗面所までの十数歩がやっと。同じくリハビリ中のおじいさんより動きが遅いのが悲しい。あと、椅子に座って歯磨きができた。 食事としてスポーツドリンクのようなGFOを経口摂取。美味くはないが口から摂取できることがうれしい。 | 麻酔の先生、主治医の先生、言語のリハビリの先生、手術室の看護師さんが様子を見に来てくれた。 脳や傷口が腫れて動かしにくい。 【備忘録】グリオーマ・びまん性星細胞腫:入院8日目 |
| 3日目 | 経口流動食が始まる。重湯とくず湯のようなドロドロしたもの。本当に食べ物なのか疑問を覚えたのでネットで検索して、どうやら食べ物らしいことを確認。栄養を取りたい一心で頑張って全部食べた。この後、流動食シリーズにいろいろな味があることが判明、くず湯風はイマイチ。 歩く練習して洗面所まで。 鎮痛剤は種類を変えながら一日中点滴で注入。それでも痛い。 | 頭の傷はふさがっている。風呂に入っても良いとのことで傷口をそっと洗った。。 傷の部分を中心に腫れている。 点滴が終了してアンプラグドに。 【備忘録】グリオーマ・びまん性星細胞腫:入院9日目 |
| 4日目 | 尿管が取れた。トイレでおしっこしても痛みは無く問題ない。 昼食から重湯が三分粥に。 看護師さんに頭を洗ってもらう。 歩くリハビリを頑張って病棟のフロアを1周。午後に2回。 経口で栄養を取れるようになってからは回復が早くなったように思う。 | 傷口が結構いたい。左目が開きにくい。 【備忘録】グリオーマ・びまん性星細胞腫:入院10日目 |
| 5日目 | お腹に刺していたドレンチューブを抜く。シャワーが可能になる。 昼食から五分粥にグレードアップ。おかずも原型をとどめたものになる。鯛の煮つけがうまい! 腸が蠕動運動すると痛い。 歩くリハビリで病棟フロアを2周。痛くても体を動かしたほうが治りが早いほうに感じる。 | 鎮痛剤無しで過ごせるようになってきた。 【備忘録】グリオーマ・びまん性星細胞腫:入院11日目 |
| 6日目 | 手術後初めて便が出た。そうなると退院の声が聞こえ始める。 最後の点滴が終了。腕に刺さっていた針は抜かれてアンプラグドに。 歩くリハビリで病棟フロアを3周。痛み止めを使っていないが動けるようになってきた。 就寝時は錠剤の鎮痛薬を服用。 | 傷口を閉じているホッチキスを半分抜糸。 傷口は腫れているが鎮痛剤無しで過ごせている。 【備忘録】グリオーマ・びまん性星細胞腫:入院12日目 |
| 7日目 | 早く退院してほしいらしい。 退院に向けた準備。鎮痛剤としてロキソプロフェン錠60mgとレバミピド錠100mgを処方してもらう。 管理栄養士さんに退院後の食事について教えてもらう。アブラは控えて腹八分目で消化に良いものを1~2か月。 | 傷口を閉じているホッチキスの残り半分を抜糸。 体を動かすようにしているけど、少し動かすと頭の傷が痛くなる。 【備忘録】グリオーマ・びまん性星細胞腫:入院13日目 |
| 8日目 | 2回目の便が出た。 傷をかばいつつ動くことはできる。 退院! | 手術結果と病理診断の結果と退院に向けた説明。自宅療養で1か月はじっとしておく。開頭手術をするとてんかんの発作が出る可能性が高い。病棟ではてんかんの兆候はなかったので薬は無しとすることに。 頭蓋骨がくっつくのに100日かかる。 【備忘録】グリオーマ・びまん性星細胞腫:入院14日目(手術の結果) |
| 9日目 | ― | CTと言語テストで問題なし。 【備忘録】グリオーマ・びまん性星細胞腫:入院15日目 |
| 10日目 | ― | 朝一でシャワーを浴びて荷物をまとめる。 退院! 【備忘録】グリオーマ・びまん性星細胞腫:入院16日目(退院) |
自宅療養~社会復帰
脳みその手術では骨がくっつくのに時間がかかるし、てんかん発作が怖い。お腹の手術御は順調に回復していると思っても無理はしないほうが吉。
- 開頭手術するとてんかん発作が怖いので、ちょっとづつ様子を見ながら負荷を上げていく感じ。頭蓋骨が完全に接合するには100日かかる。
- お腹の手術では肉と皮膚がくっつけば元に戻れる。内臓の調子が元に戻るには1~2か月かかる。
| 退院後の経過日数 | 腹腔内デスモイド | グリオーマ(脳腫瘍) |
| ~1週間 | お腹を切った傷が痛い。お腹に力を入れることができないので、鼻をかんだり咳をしたりができない。クシャミなんかしたら気絶する。排便時は出るにまかせるしかない。寝返りするときも気を付けてゆっくり動作する。 痛み止めは飲まずに済んでいる。 ご飯はおじや。管理栄養士さんからは白米はオーケーと言われているが、まずは炊いたもので様子を見る。 少し食べるとお腹が苦しくなる。腸が蠕動運動すると痛い。 ルームランナーで歩く練習。 | てんかんの発作が起きるリスクがあり、自宅でじっとしている。 台風通過前後でものすごく頭が痛くなった。 チタンプレートで割った頭蓋骨を止めているとは言え、骨はくっ付いていない。おなかに力を入れると脊髄から髄液が頭蓋内へジュルジュルっと流れてくるのが分かる。ウンチするのが怖い。 【備忘録】グリオーマ・びまん性星細胞腫:自宅療養中で頭痛 |
| ~1か月 | 傷の痛みは日に日に良くなっていく。ただ、皮膚の表面がヒリヒリして痛い。衣服が触れるだけで痛い。 ルームランナーの速度を徐々に上げていく。時間も30分から1時間に延長。 外にウォーキングに出る。歩いたほうが傷の治りが良い。歩き始めて20分を過ぎると痛みが減って普通の姿勢で歩けるようになってくる。 食べ物は通常のおかずを食べれるようになった。分量は0.8人前でお腹いっぱい。 | 基本的には自宅でじっとしている。 1か月目の外来診断で経過が順調であるのであと1週間くらいで職場復帰オーケーと言われるが、産業医さんと相談してあと1か月は療養することにした。 【備忘録】グリオーマ・びまん性星細胞腫:退院後初の外来診察 |
| ~2か月目 | 1ヶ月を過ぎたあたりでイレウス(腸閉塞)らしき症状が発生。喉が渇いてスポーツドリンクを飲んだら急激にお腹が張って気持ち悪くなった。外出中であったが用事を中断して帰宅し安静にしてるうちに治ってきた。一時は救急で受診しようとも考えたくらい苦しかった。ネットで色々調べると開腹手術をした場合はリスクがあるようで、食事は気をつけた方が良い。そういえば前日に辛いカレーを食べて、しかもおかわりしたのが引き金だったかもしれない。 | 自宅療養を継続するが、体のリハビリとしてウォーキングから始める。心拍120くらいからこわごわ様子を見る。てんかんの発作が怖い。心拍が上がると傷が痛む。半月くらいで心拍140でも問題なくなってきた。 自転車に乗り始める。ウォーキングよりも負荷が大きくてすぐに心拍150~160くらいに上がってくる。でも傷の痛みは無し。てんかんになる感じもしない。2か月目くらいに100kmライドを達成。もう、手術前の体力に戻った。 てんかんの発作が起こるかもしれないっていうのが一番怖かったので、ちょっとづつ運動負荷を上げていって、頭の傷の様子も見ながら少しづつ限界を上げて探る感じだった。 |
| 2か月目~3か月目 | 早く復帰したいと思う気持ちからか知らず知らずのうちに無理をしているようで、体の回復と意識の乖離があるのでメンタルをやられるリスクがあるので注意! 実際の回復は思ったより遅い。 3か月目に大腸カメラと造影剤ありのCTで検査。問題はなく、以後は経過観察として造影剤ありのエコーをすることに。 | 2か月目で職場復帰。 3か月目の外来診断で頭の回復に問題がないことを確認。クルマの運転もオーケーが出た。 以後は経過観察としてMRI検査することに。 【備忘録】グリオーマ・びまん性星細胞腫:明日から復職 |
| 58か月目 | 手術後約5年の経過観察のあいだ再発や転移は認められなかったので、完治とみなす診断が出た! | 経過観察継続中 |


コメント
なんか更新ないと思ったら。大変やったなー。ま、この時期手術できて生還して何より。知り合いは手術一年半も延期になってた。リハビリがんばってね。
切ったところが回復すればとりあえずは普通に生活できるようになるのでよかったよ~。
手術予定をねじ込んでくれた主治医にも感謝してる。
手術が延期になった知り合いも心配だね。悪化したり進行したりしなければいいけど、、、
コロナウイルスを拡大しないようにしないとね。
路上飲みしているような奴らは逮捕してほしいと思うよ。