手術から7.0年が経過した。半年ごとの定期検査ですが、今回は腹腔内デスモイドの件があるので心配。
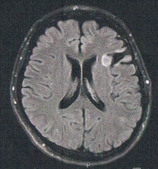
悪性転化しやすい腫瘍の種類(びまん性星細胞腫グレード2)であるとのことで造影剤を注射してMRI検査をする。4時間前から絶食し、MRIの1時間前に血液検査を済ませる。コロナで緊急事態宣言下であるからか院内は空いていて待ち時間は短い感じ。


診断の結果は特に変化はなく問題なし。造影剤がしみ込んでいる箇所もないとのことで、悪性度は低い状態を保っているとのこと。良かった!
腹腔内デスモイドの話と、家族性大腸ポリポージスの疑いがあることを先生に伝えると、脳腫瘍と関係しているかもしれないね、とのこと。
主観的心痛度:★★★★★(大腸をとるのはイヤだなぁ。。。)



コメント