1)グリオーマ神経膠腫(脳腫瘍)

GLIOMA:入院4日目(一時帰宅)

入院4日目昨日の夜から外泊許可をもらって一時帰宅中。手術中、手術後のスケジュールを作って家族に実家と嫁に連絡。病院が地元から遠いので、付き添いや嫁が不在時の子供の世話など実家の親と嫁で調整。手術日と翌日の付き添いのためホテルも予約。その合間...
1)グリオーマ神経膠腫(脳腫瘍)

GLIOMA:入院3日目

今日の検査・診察は、・血液検査・言語療法の先生の診察・作業療法の先生の診察・手術室の看護師の説明6:20に夜勤の看護師が採血にきた。W杯をTVで見ようと思っていたので起こしてくれてラッキー。談話室のTVでほかの患者さんと一緒にギリシャ戦を観...
1)グリオーマ神経膠腫(脳腫瘍)

GLIOMA:入院初日

入院初日。4月に検査入院していたので特に問題なく入院生活に突入。主治医の先生が来て手術前の説明をしたいがいつがいいかと聞くので、家族と調整して明日の夜にしてもらった。それにしても、明日は外来、金は手術、土は他の病院に行くらしいし、日曜日の午...
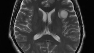
1)グリオーマ神経膠腫(脳腫瘍)

GLIOMA:入院前の体力づくり

今日は手術入院の前日。ゴールデンウイーク前の4月に検査のため2週間ほど入院していたので2ヶ月ぶりになります。その時の様子は別途まとめておこうと思ってます。簡単に自分の病気の説明をしておくと、グリオーマ(GLIOMA:神経膠腫)という脳の実の...
1)グリオーマ神経膠腫(脳腫瘍)

GLIOMA:脳腫瘍の修理記録(はじめに)

1)この書庫の趣旨このブログは国産旧車(自転車、ベンツ含む)の整備記録ですが、自分の病気の記録のためにGLIOMAという書籍を立ち上げました。もし、検査や手術のことを知りたいという人があれば、参考にしていただければ幸いです。ただし、脳腫瘍に...