1)この書庫の趣旨
このブログは国産旧車(自転車、ベンツ含む)の整備記録ですが、自分の病気の記録のためにGLIOMAという書籍を立ち上げました。
もし、検査や手術のことを知りたいという人があれば、参考にしていただければ幸いです。
ただし、脳腫瘍にもいっぱい種類がありますので、2)3)を参考にしてください。
もし、検査や手術のことを知りたいという人があれば、参考にしていただければ幸いです。
ただし、脳腫瘍にもいっぱい種類がありますので、2)3)を参考にしてください。
2)自分の病気
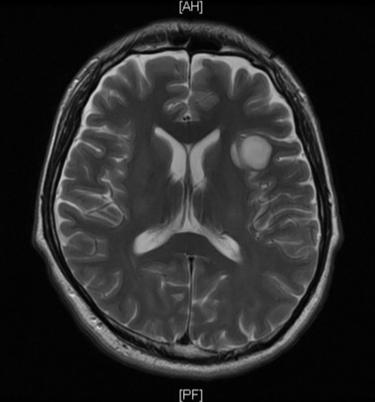
脳腫瘍にもいろいろあるのですが、神経膠腫(グリオーマ)のグレード2との疑い。
さらに言えば、びまん性星細部種との疑いですが、生検して細胞を取らないと確定はできません。
左前の前頭葉にあります。
言語中枢に近いです。
あと、40代、男です。
さらに言えば、びまん性星細部種との疑いですが、生検して細胞を取らないと確定はできません。
左前の前頭葉にあります。
言語中枢に近いです。
あと、40代、男です。
写真を載せておきます。脚から上に向かって画像を撮っています。
写真では右側に腫瘍が見えますが、自分から見れば左側です。
写真では右側に腫瘍が見えますが、自分から見れば左側です。
3)読んだ本
脳腫瘍に関して以下の本が参考になると思いました。
(1)ぜんぶわかる脳の事典―部位別・機能別にわかりやすくビジュアル解説 成美堂出版
脳の機能を詳しくビジュアルに説明しています。医者の話を聞く際に、これくらいの知識があるとすんなり聞けると思います。
(2)新・脳と心の地形図 リタ・カーター 養老孟司監修 原書房
![]()
脳の機能について詳しく説明してくれてます。自分は言語中枢のところが知りたくて買いましたが、思考や感情、意識など脳の各部がどのように繋がっているのかイメージが付きやすいと思います。
1) Outline of this libraly
This blog are maintenance records of domestic old cars including a bicycle and a mercedes benz. I also have an libraly of GLIOMA to record maintenance of my disease.
If you want to know about examinations and a surgery for brain tumor, you can refer to this libraries.
however there are many kind of the brain tumor, you should see section 2) and 3).
2) My brain tumor
My doctor suspected that I might have a grade 2 of a glioma.
Moreover I might have a diffuse astrocytoma, but the decision to identify the final disease is after a biopsy.
I have left front tumor.
The tumors are near the speech centor.
I am 40 yeas old man.
My doctor suspected that I might have a grade 2 of a glioma.
Moreover I might have a diffuse astrocytoma, but the decision to identify the final disease is after a biopsy.
I have left front tumor.
The tumors are near the speech centor.
I am 40 yeas old man.
I have a photo that took the direction from legs to head.
The photo shows the tumor on the right side but left side on my sides
The photo shows the tumor on the right side but left side on my sides
3) The book
I listed some books to understand a tumor.
I listed some books to understand a tumor.
(1) This is a Japanese book.
(2) Mapping the mind Rita Carter
I have read this book in Japanese. A functional of a brain are explained clearly. I have bought the book to learn about speech centor. I think you can really have good understanding about the brain connection to the think, emotion and consious.


コメント