半年ごとの定期検査のために久しぶりに病院に戻った。
2014/6/23の覚醒手術から約27か月になる。
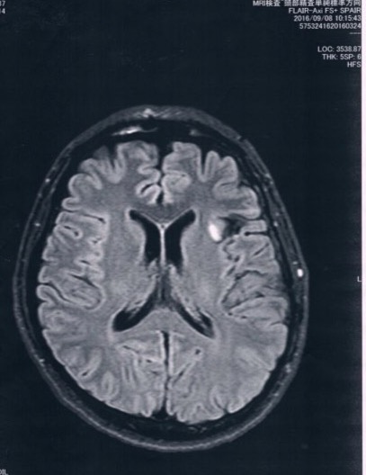
MRI検査の結果、半年前や一年前と比べても変化は無し!
残っている腫瘍は悪性転化していませんでした。
まずは安心。
残っている腫瘍は悪性転化していませんでした。
まずは安心。
今回2016/9/8(手術後27か月)のMRI画像
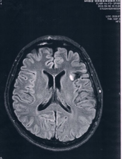
前回2016/3/24(手術後21か月)のMRI画像
今回の画像の方が、腫瘍がクッキリ写っているように見えるけど、
コントラストの違いだと思う。
コントラストの違いだと思う。
次回の検査も半年後。
びまん性星細胞腫グレード2を患ってます。
主観的心痛度:★★☆☆☆(いくら検査しても根治するわけではないのがつらい。。。医学の進歩に期待してます。)
主観的心痛度:★★☆☆☆(いくら検査しても根治するわけではないのがつらい。。。医学の進歩に期待してます。)




コメント