半年ごとの定期検査のために久しぶりに病院に戻った。
2014/6/23の覚醒手術から約21か月になる。
残っている腫瘍が悪性転化していないか、いつも気になっている。
ずっとおとなしい腫瘍のままでいてくれればいいのだが、、、、
MRI検査の結果、半年前や一年前と比べても変化は無し!
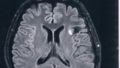
2015/3/19(手術後9か月)のMRI画像
今回2016/3/24(手術後21か月)のMRI画像
今回もらった画像は前回とは画像強調が異なっているので白黒が反転しているところがある。
が、問題の腫瘍の部分は変化が無いので問題なし!
(興味ある人はFLAIRとT2で検索すると、MRIに詳しくなれます。)
が、問題の腫瘍の部分は変化が無いので問題なし!
(興味ある人はFLAIRとT2で検索すると、MRIに詳しくなれます。)
あと、前回までずっと診てもらっていた先生が転勤になり、若い先生が引き継ぐことになった。
残念だけど転勤もあり得る話なので仕方ない。
残念だけど転勤もあり得る話なので仕方ない。
若い先生といっても自分の手術に助手として執刀してくれた先生なので、
知らないわけではないし不安は無い。
知らないわけではないし不安は無い。
すごいイケメン脳外科医でさぞかしモテるだろうなぁ。
びまん性星細胞腫グレード2を患ってます。
主観的心痛度:★★☆☆☆(次も半年後の定期検査。はやく根治する治療方法を誰かが開発してほしい。たのむ!)
主観的心痛度:★★☆☆☆(次も半年後の定期検査。はやく根治する治療方法を誰かが開発してほしい。たのむ!)




コメント