手術から9.0年が経過した。半年ごとの定期検査です。
検査概要
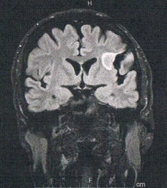
- びまん性星細胞腫グレード2(悪性転化しやすい腫瘍)
- MRI検査: 造影剤なし /
造影剤あり 造影剤ありの場合:4時間前から絶食し、MRIの1時間前に血液検査を済ませる。
診断結果
- 今回のは白く映って大きく見えるが変化は無し。
- てんかんに気を付ける。右手はしびれる、言葉が出にくくなるような症状。
- 珍しく前後方向の断面を見せてくれた


主観的心痛度:★★☆☆☆(てんかんに注意といわれても、周りの人に注意してもらうしかない。。。)
1)グリオーマ神経膠腫(脳腫瘍)
コメント