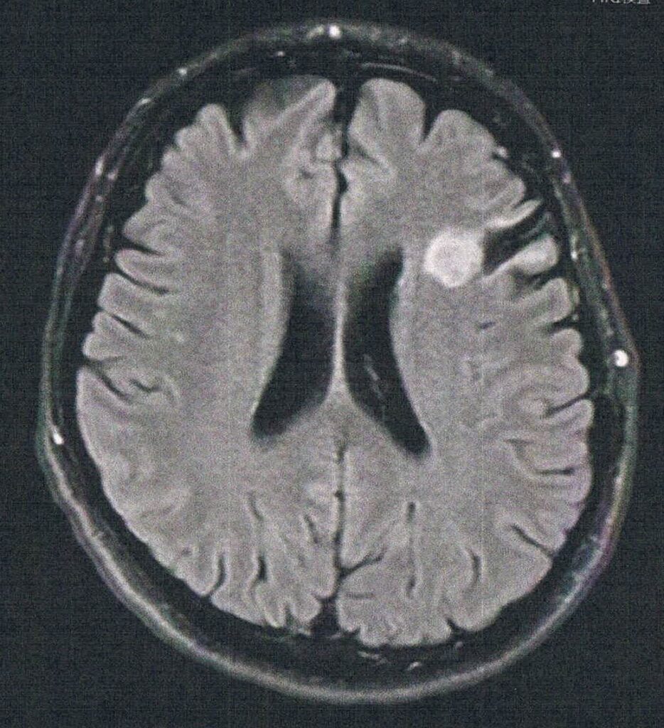
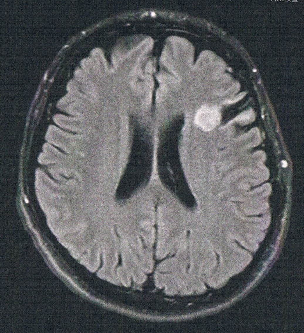
手術から8.5年が経過した。半年ごとの定期検査です。
検査の概要
- 悪性転化しやすい腫瘍の種類(びまん性星細胞腫グレード2)
- 造影剤を注射してMRI検査
- 4時間前から絶食し、MRIの1時間前に血液検査を済ませる。
診断結果
- 1年前と比べて拡大は無し。造影剤でも問題なし。
- 言語野のほうへ広がるなら覚醒下手術で取る。
- 言語野から外れているようにも思われるが覚醒下でやってみないとわからない。2週間くらい失語の症状が出るかもしれない。

主観的心痛度:★★☆☆☆(また手術するの、嫌だなぁ。。。)
1)グリオーマ神経膠腫(脳腫瘍)
コメント