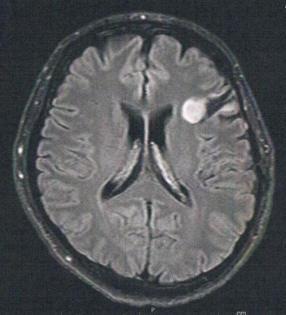
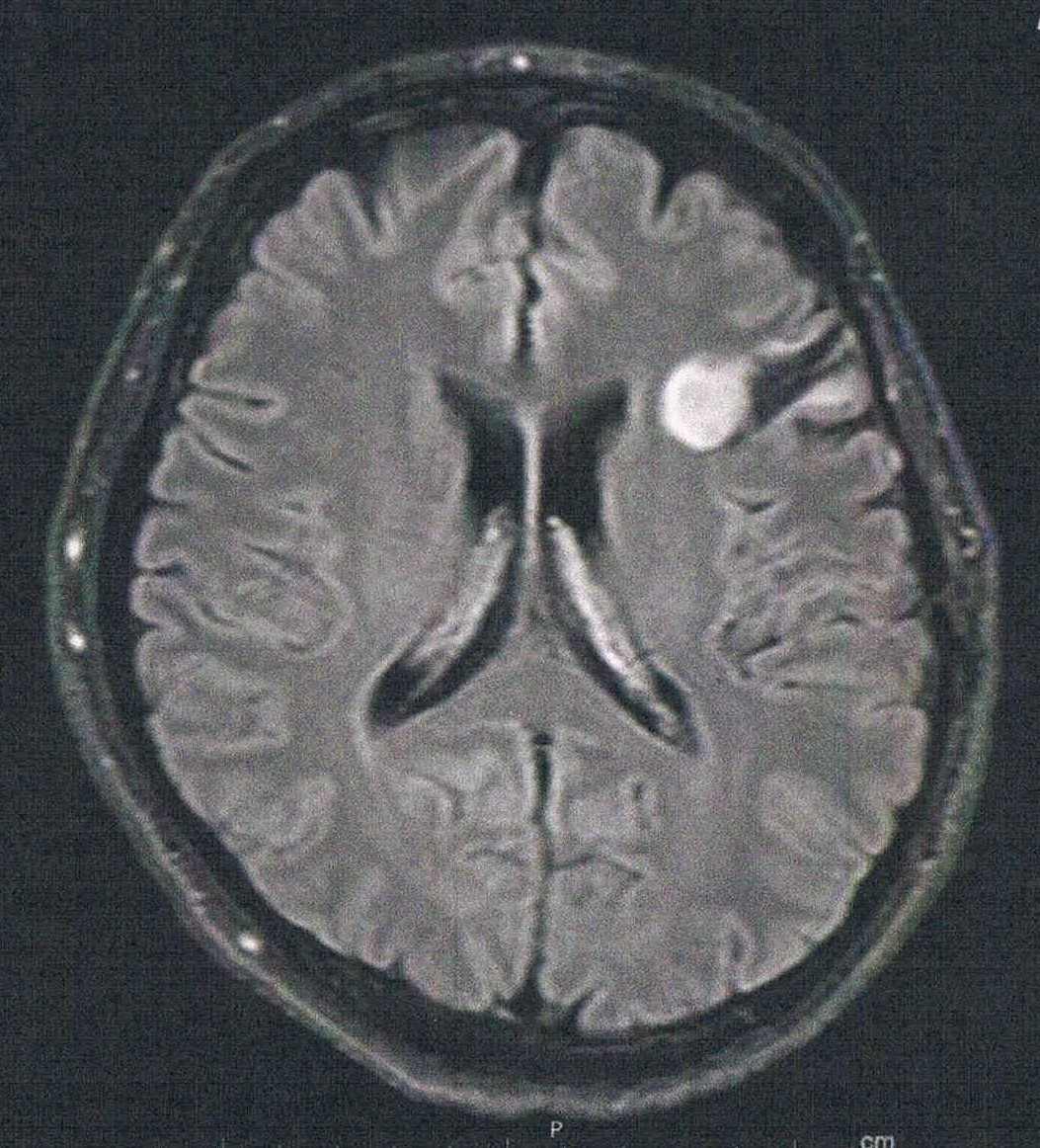
手術から8.0年が経過した。半年ごとの定期検査です。
- 悪性転化しやすい腫瘍の種類(びまん性星細胞腫グレード2)
- 造影剤を注射してMRI検査
- 4時間前から絶食し、MRIの1時間前に血液検査を済ませる。
診断結果
- 日常会話に支障がないか、ヒアリング。
- 言葉の不自由:たまに言葉が出にくいことはある
- 年レベルでおおきくなっている
- 手術して取りに行く
- 喋れなくなるか? →そうとも言えない。覚醒下で一時的な失語なのかそうでないのか(回復するも)がわかるようになってきている。


主観的心痛度:★★☆☆☆(覚醒下手術の実績も増えてわかってきたことも多いらしい。。。)


コメント