手術から10年が経過した。半年ごとの定期検査です。
検査概要
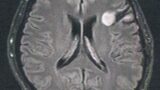
- びまん性星細胞腫グレード2(悪性転化しやすい腫瘍)
- MRI検査: 造影剤なし /
造影剤あり 造影剤ありの場合:4時間前から絶食し、MRIの1時間前に血液検査を済ませる。
診断結果
- 初めて前後方向に断面を見た気がするが、2年前の画像と比べると上方向に顕著に大きくなっている。
- 造影剤の有無でも見え方が違うのかもしれないが、上下方向は明らかに大きくなっている。玉子で例えると、直径は変わらないが上下が大きくなっている。
- このペースで大きくなると10年以内には再手術が必要になりそうな予感がする。上方向は除去しても問題ないとは言うが、手術はリスクと痛さがあるのでイヤだなぁ。
- てんかんと言語障害に注意、とのこと。




主観的心痛度:★★★★☆(手術はイヤ。。。)


コメント