手術から10.5年が経過した。半年ごとの定期検査です。
検査概要
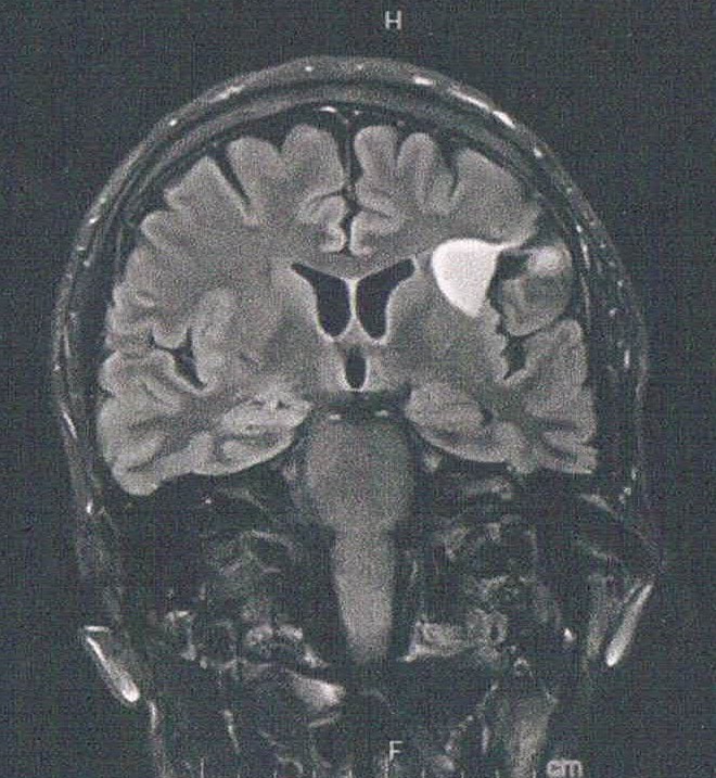
- びまん性星細胞腫グレード2(悪性転化しやすい腫瘍)
- MRI検査: 造影剤なし /
造影剤あり 造影剤ありの場合:4時間前から絶食し、MRIの1時間前に血液検査を済ませる。
診断結果
- MRIが新しくなっていた。3T
- 1年に1〜2mmほどおおきくなっている
- てんかん、言語障害に注意、5年以内くらいに再手術か?
- 下方向に大きくなると取りにくくなるので、そうなる前に手術


主観的心痛度:★★★★☆(手術はイヤ。。。)
1)グリオーマ神経膠腫(脳腫瘍)
コメント