半年ごとの定期検査のために久しぶりに病院に戻った。
2014/6/23の覚醒手術から約45か月になる。
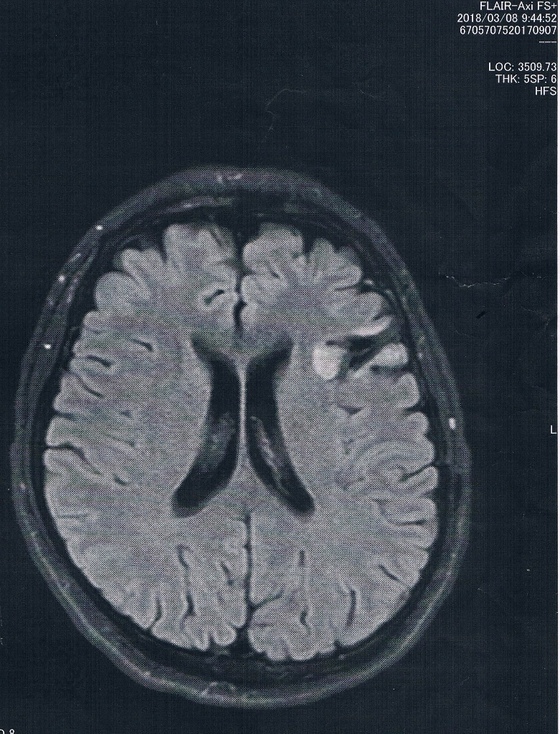
MRI検査の結果、半年前や一年前と比べても変化は無し!
でも、術後3年以上が経って冷静に自分の状況を観察してみると言葉が出にくい感じはある。
でも、術後3年以上が経って冷静に自分の状況を観察してみると言葉が出にくい感じはある。
今回2018/3/8(手術後45か月)のMRI画像
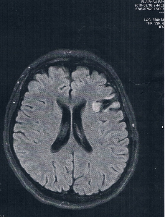
前回2017/9/7(手術後39ヶ月)のMRI画像
次回の検査も半年後。
びまん性星細胞腫グレード2を患ってます。
主観的心痛度:★★☆☆☆(まだやりたいことがいっぱいある!)
主観的心痛度:★★☆☆☆(まだやりたいことがいっぱいある!)




コメント