半年ごとの定期検査のために久しぶりに病院に戻った。
2014/6/23の覚醒手術から約16か月になる。
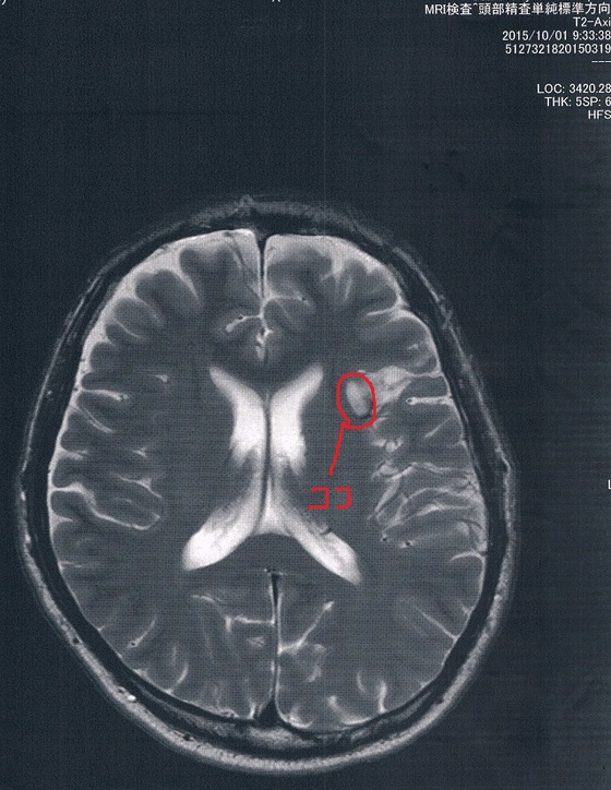
言語中枢の保存のためにあえて取らなかった腫瘍がどうなっているか気になる。
手術時の生検で腫瘍の悪性度が低いことが分かっているけど気になる。
気にしすぎると精神的にやられるので普段は気にしないようにしているが、やっぱり気になる。
手術時の生検で腫瘍の悪性度が低いことが分かっているけど気になる。
気にしすぎると精神的にやられるので普段は気にしないようにしているが、やっぱり気になる。
MRI検査の結果、半年前と比べて変化は無し!
目に見えるような進行は無いということだ! やったね!
目に見えるような進行は無いということだ! やったね!
当然、一番心配だった悪性転化もしていない。
2015/3/19(手術後9か月)のMRI画像
2015/10/1(手術後16か月)のMRI画像
腫瘍が原因の症状について、気にしだしたらキリがないんだけど、普段の生活で頭が痛いとかそれ以外の体調の不良とかがあるととっても気になる。
こうして画像で確認できると、気にしすぎだとわかって取り合えずホッとする。
こうして画像で確認できると、気にしすぎだとわかって取り合えずホッとする。
びまん性星細胞腫グレード2を患ってます。
主観的心痛度:★★☆☆☆(次も半年後の定期検査。このまま一生何もないように!)
主観的心痛度:★★☆☆☆(次も半年後の定期検査。このまま一生何もないように!)




コメント