前回、 悪性転化しやすい腫瘍の種類(びまん性星細胞腫グレード2)であるとのことで、1年に一回は造影剤を注射してMRI検査をすることになった。造影剤を使う場合は4時間前から絶食する必要がある。また、撮影前には血液検査が必要でMRI撮影前に済ませる必要がある。今日はたまたま早めに病院に到着していたのと、 採血待ちの順番を飛ばしてもらって何とかMRI撮影に間に合った。血液検査の結果が出るまで45分かかるとのことなので、MRI撮影の1時間前には病院に到着する必要がある。
検査とは関係ないですが、採血場の看護師は中国の人が多かった。日本に旅行に来たついでに健康診断する中国人が多いのだろう。

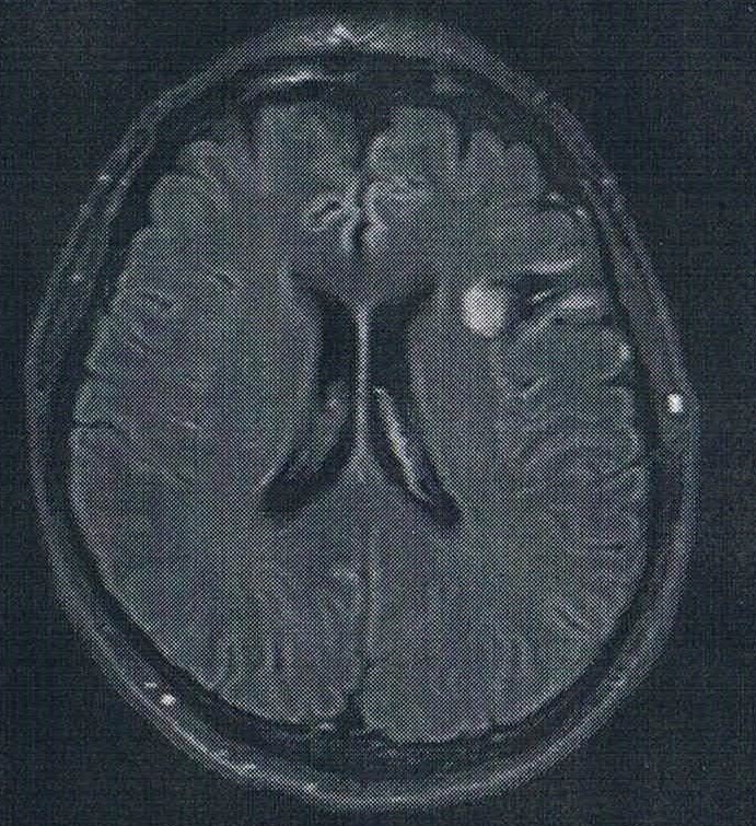
診断の結果は、特に変化はなく問題なしとのこと。造影剤がしみ込んでいる箇所もないとのことで、悪性度は低い状態を保っている。
ただ、やはり悪性転化しやすい腫瘍なので、半年後の次回の検査も造影剤を注射してMRI検査をすることになった。なので、次回の検査も4時間前から絶食する必要があるし、1時間前には病院に着いとく必要がある。
びまん性星細胞腫グレード2を患ってます。 主観的心痛度:★★★★☆(変化が無いことが分かったので新しいことにチャレンジしよう!)


コメント