半年ごとの定期検査。クルマで言うと車検ですね。
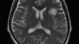
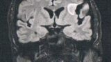
悪性転化しやすい腫瘍の種類(びまん性星細胞腫グレード2)であるとのことで造影剤を注射してMRI検査をする。手術から6.5年が経過した。
毎度のことではあるが備忘録もかねて記載しておくが、造影剤を使う場合は4時間前から絶食する必要がある。また、撮影前には血液検査が必要でMRI撮影前に済ませる必要があって、血液検査の結果が出るまで45分かかるとのことなので、MRI撮影の1時間前には病院に到着して採血の受付をする必要がある。血液検査によって腎機能をチェックしているらしい。


診断の結果は特に変化はなく問題なし。造影剤がしみ込んでいる箇所もないとのことで、悪性度は低い状態を保っているとのこと。これは前回から変わらず、まずはホッとした。
無事に車検に合格したといえるが、検査の時点で問題がないことを確認できただけで、これから将来にわたって問題がないとは言えないのが辛いところ。これもクルマとおんなじ。
びまん性星細胞腫グレード2を患ってます。 主観的心痛度:★★★★☆(まだまだこれから!)


コメント