これは2014年4月3日の記録。
脳腫瘍が発覚した地元の病院の紹介で、提携している大学病院に診察に来た。
すごいビルの立派な病院だ。
紹介状を持ってこないと基本は診てもらえないんだけど、たくさんの患者が受付に並んでいる。
すごいビルの立派な病院だ。
紹介状を持ってこないと基本は診てもらえないんだけど、たくさんの患者が受付に並んでいる。
たくさん待って診察室に通される。
先生は自分と同じくらいかもうちょっと若いくらい。
先生は自分と同じくらいかもうちょっと若いくらい。
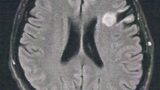
地元の病院で撮ったMRIと、無症状であること、右利きであるなど幾つか質問をされて診断をしてもらう。先生はこちらの知りたいことを丁寧に説明してくれた。
概要は、
1)診断
・画像上は神経膠腫(グリオーマ)のグレード2と思われる。
・低悪性度である。(良性ではない)
・めまいとは関係ない。(自分の場合は)
・ゆっくり大きくなることが多い。
・悪性に変わる可能性がある。悪性転化。
1)診断
・画像上は神経膠腫(グリオーマ)のグレード2と思われる。
・低悪性度である。(良性ではない)
・めまいとは関係ない。(自分の場合は)
・ゆっくり大きくなることが多い。
・悪性に変わる可能性がある。悪性転化。
2)手術
・最新の方向性としては、無症状でも手術で取ったほうが予後が良い。また、組織を取れば診断がつく。遺伝子でもわかる。
・手術は言語中枢に近いので覚醒下でやる。中枢の位置によってはできない可能性もある。
・手術は6hくらい。覚醒下は2h程度までが目安。ナビゲーションも使う。
・最新の方向性としては、無症状でも手術で取ったほうが予後が良い。また、組織を取れば診断がつく。遺伝子でもわかる。
・手術は言語中枢に近いので覚醒下でやる。中枢の位置によってはできない可能性もある。
・手術は6hくらい。覚醒下は2h程度までが目安。ナビゲーションも使う。
3)術後
・車の運転は2年間は様子を見る。てんかんの発作のため。脳の表面から発生する。
・手術から2週間で退院。
・何も症状が無い人で1ヶ月後から仕事復帰。
・車の運転は2年間は様子を見る。てんかんの発作のため。脳の表面から発生する。
・手術から2週間で退院。
・何も症状が無い人で1ヶ月後から仕事復帰。
4)検査
・言語中枢の位置は開けるまえにある程度は調べられる。タスクしながらMRIやる。
・PETもやる。腫瘍があると光って見える。
・放射線や化学療法は詳しく検査してから。
・検査入院は2週間くらい。
・言語中枢の位置は開けるまえにある程度は調べられる。タスクしながらMRIやる。
・PETもやる。腫瘍があると光って見える。
・放射線や化学療法は詳しく検査してから。
・検査入院は2週間くらい。
こちらからは手術を希望していることを説明したところ、入院して検査しましょうとなった。結果を見てから手術するか、どの病院でするかを決めれば良いとのことなので、とりあえず検査に進もう。
びまん性星細胞腫グレード2を患ってます。
主観的辛痛度:★☆☆☆☆(入院はベッド待ち。)
主観的辛痛度:★☆☆☆☆(入院はベッド待ち。)
This is the record on 3 April 2014.
I and my wife go to a university hospital that my neighbor hospital introduced me is aligned with. It has a big building.
Many patients are queuing at a reception counter with their information letters.
Many patients are queuing at a reception counter with their information letters.
We entered into an examination room after waiting many times.
A doctor seems same age or younger than me.
A doctor seems same age or younger than me.
The doctor asked me about no symptom at all, right handed and so on. Then he explained us a details of my tumor and a surgery for me.
Summary is,
1) Examination
1) Examination
- The MRI image shows that the tumor seems to be a glioma of grade 2.
- It is a low malignant tumor. But it is not a benign tumor.
- It is not a course of a dizzy for me.
- The tumor will be become large at a low speed.
- There is some possibility that the tumor transforms into a malignant tumor.
2) Surgery
- Newest treatment direction said that taking out of the tumor will be good for prognosis. The tumor taken out from my brain are investigated to be decided a decease, also by gene analysis.
- The surgery will be operated in an awake surgery because the tumor is near the speech center. There is some possibility that the surgely is not operated because of the location of the tumor.
- It takes 6 hours, including 2 hours in the awake surgery.
3) After surgery
- I should wait for driving a car for 2 years or more because of epilepsy. An epilepsy is start from a surface of a brain.
- I will leave hospital 2 weeks later from the surgery.
- Patients have no symptom will come back for work in 1 month.
4) Examination for surgery
- A location of a speech center is found out to a certain extent before my skull is opened by MRI while I do some language task.
- PET is carried out to find the tumor by blighting.
- Treatment of radiation or chemotherapy should be decided to operate after the examination.
- I will be hospitalized for 2 weeks.
I talked the doctor that I have the surgery as soon as possible. Then I will be hospitalized to examine to prepare to operate the surgery. The doctor said that I can decide whether I have the surgery or where to do after the results of the examinations are produced.
I will go forward.
Subjective difficulty rate: ★☆☆☆☆ (I will be waiting for my bed reservation to be hospitalized.

コメント