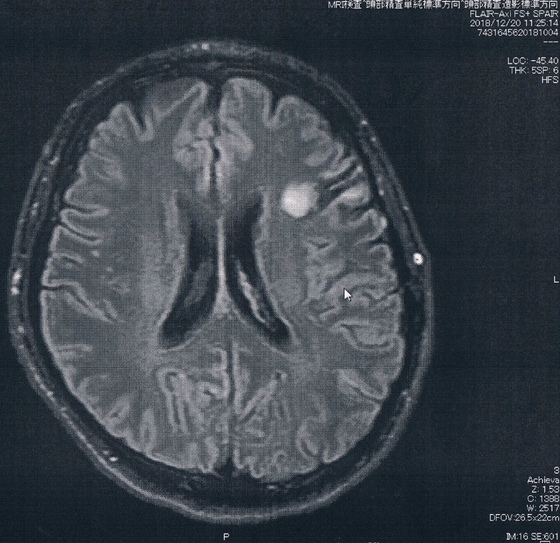
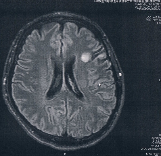
前回10月の定期検査で腫瘍が大きくなってる↓かもしれないとの診断で

【備忘録】グリオーマ・びまん性星細胞腫:手術後51ヶ月目の検査
半年ごとの定期検査のために久しぶりに病院に戻った。
2014/6/23の覚醒手術から約51か月になる。
MRI検査の結果、半年前と比べても変化は無いように見えるが、
一年前やそれ以前の画像と比べると若干変化があるようにも見える。
と先生が言う。
検査時期を早めて、造影剤も注射してMRI検査をすることに。
結果から言って、造影剤の入り込みも無く悪性転化は無いとのこと。
言語検査に結果も特に問題無し。まあ、
SLTA標準失語症検査では微妙な変化は検出できないと思う。
SLTA標準失語症検査では微妙な変化は検出できないと思う。
とにかく現状維持ですぐに問題になることは無いことがわかった!!
びまん性星細胞腫グレード2を患ってます。
主観的心痛度:★★★★☆(まだまだやりたいことをやる!)



コメント