1)グリオーマ神経膠腫(脳腫瘍)

GLIOMA:手術後138ヶ月目の検査

手術から11年が経過した。半年ごとの定期検査です。検査概要びまん性星細胞腫グレード2(悪性転化しやすい腫瘍)MRI検査: 造影剤なし / 造影剤あり造影剤ありの場合:4時間前から絶食し、MRIの1時間前に血液検査を済ませる。診断結果前回のM...
1)グリオーマ神経膠腫(脳腫瘍)

GLIOMA:手術後132ヶ月目の検査

手術から11年が経過した。半年ごとの定期検査です。検査概要びまん性星細胞腫グレード2(悪性転化しやすい腫瘍)MRI検査: 造影剤なし / 造影剤あり造影剤ありの場合:4時間前から絶食し、MRIの1時間前に血液検査を済ませる。診断結果着実に大...
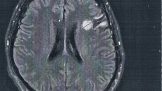
1)グリオーマ神経膠腫(脳腫瘍)

GLIOMA:手術後126ヶ月目の検査

手術から10.5年が経過した。半年ごとの定期検査です。検査概要びまん性星細胞腫グレード2(悪性転化しやすい腫瘍)MRI検査: 造影剤なし / 造影剤あり造影剤ありの場合:4時間前から絶食し、MRIの1時間前に血液検査を済ませる。診断結果MR...
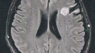
1)グリオーマ神経膠腫(脳腫瘍)

GLIOMA:手術後120ヶ月目の検査

手術から10年が経過した。半年ごとの定期検査です。検査概要びまん性星細胞腫グレード2(悪性転化しやすい腫瘍)MRI検査: 造影剤なし / 造影剤あり造影剤ありの場合:4時間前から絶食し、MRIの1時間前に血液検査を済ませる。診断結果初めて前...
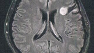
1)グリオーマ神経膠腫(脳腫瘍)

GLIOMA:手術後114ヶ月目の検査

手術から9.5年が経過した。半年ごとの定期検査です。検査概要びまん性星細胞腫グレード2(悪性転化しやすい腫瘍)MRI検査: 造影剤なし / 造影剤あり造影剤ありの場合:4時間前から絶食し、MRIの1時間前に血液検査を済ませる。診断結果特に進...
1)グリオーマ神経膠腫(脳腫瘍)

GLIOMA:手術後108ヶ月目の検査

手術から9.0年が経過した。半年ごとの定期検査です。検査概要びまん性星細胞腫グレード2(悪性転化しやすい腫瘍)MRI検査: 造影剤なし / 造影剤あり造影剤ありの場合:4時間前から絶食し、MRIの1時間前に血液検査を済ませる。診断結果今回の...
1)グリオーマ神経膠腫(脳腫瘍)

GLIOMA:手術後102ヶ月目の検査

手術から8.5年が経過した。半年ごとの定期検査です。検査の概要悪性転化しやすい腫瘍の種類(びまん性星細胞腫グレード2)造影剤を注射してMRI検査4時間前から絶食し、MRIの1時間前に血液検査を済ませる。診断結果1年前と比べて拡大は無し。造影...
1)グリオーマ神経膠腫(脳腫瘍)

GLIOMA:手術後96ヶ月目の検査

手術から8.0年が経過した。半年ごとの定期検査です。悪性転化しやすい腫瘍の種類(びまん性星細胞腫グレード2)造影剤を注射してMRI検査4時間前から絶食し、MRIの1時間前に血液検査を済ませる。診断結果日常会話に支障がないか、ヒアリング。言葉...
1)グリオーマ神経膠腫(脳腫瘍)

GLIOMA:手術後90ヶ月目の検査

手術から7.5年が経過した。半年ごとの定期検査です。悪性転化しやすい腫瘍の種類(びまん性星細胞腫グレード2)であるとのことで造影剤を注射してMRI検査をする。4時間前から絶食し、MRIの1時間前に血液検査を済ませる。コロナ感染防止で制限して...
1)グリオーマ神経膠腫(脳腫瘍)

GLIOMA:手術後84ヶ月目の検査

手術から7.0年が経過した。半年ごとの定期検査ですが、今回は腹腔内デスモイドの件があるので心配。腹腔内デスモイドの発見と手術悪性転化しやすい腫瘍の種類(びまん性星細胞腫グレード2)であるとのことで造影剤を注射してMRI検査をする。4時間前か...
2)デスモイド腹腔内腫瘍

DESMOID:腹腔内デスモイドの治療と経過・・・脳腫瘍との比較!

稀な腫瘍であるデスモイド腫瘍がおなかの中に見つかって手術したので、誰かの参考になればと思って記録しておく。過去には稀な腫瘍の一つである脳腫瘍のグリオーマも経験しているので、おなかと頭の場合を比較する形で記載してみた。ちなみにグリオーマは50...
1)グリオーマ神経膠腫(脳腫瘍)

GLIOMA:神経膠腫(グリオーマ)のウイルス療法が承認へ

個人的には自分の体にいろいろあってしんどいのですが、グリオーマの治療に光明が見えたとのことでうれしい!東京大学、頼みます!主観的期待度:★★★★★(開頭手術せずに薬だけで治るようにしてください!)
1)グリオーマ神経膠腫(脳腫瘍)

GLIOMA:手術後78ヶ月目の検査

半年ごとの定期検査。クルマで言うと車検ですね。悪性転化しやすい腫瘍の種類(びまん性星細胞腫グレード2)であるとのことで造影剤を注射してMRI検査をする。手術から6.5年が経過した。毎度のことではあるが備忘録もかねて記載しておくが、造影剤を使...
1)グリオーマ神経膠腫(脳腫瘍)

GLIOMA:手術後72ヶ月目の検査

前回から造影剤を注射してMRI検査をすることになった。手術から6年が経過し、悪性転化しやすい腫瘍の種類(びまん性星細胞腫グレード2)であるとのことで念のため。造影剤を使う場合は4時間前から絶食する必要がある。また、撮影前には血液検査が必要で...
1)グリオーマ神経膠腫(脳腫瘍)

GLIOMA:手術後66ヶ月目の検査

前回、 悪性転化しやすい腫瘍の種類(びまん性星細胞腫グレード2)であるとのことで、1年に一回は造影剤を注射してMRI検査をすることになった。造影剤を使う場合は4時間前から絶食する必要がある。また、撮影前には血液検査が必要でMRI撮影前に済ま...