1)グリオーマ神経膠腫(脳腫瘍)

GLIOMA:手術後60ヶ月目の検査

前回、造影剤を使ってMRI検査をして悪性転化がないことが確認されたので、今回は6か月おきの通常の定期検査。特に変化はなく問題なしとのこと。ただし、悪性転化しやすい腫瘍の種類(びまん性星細胞腫グレード2)であるとのことで、1年に一回は造影剤を...
1)グリオーマ神経膠腫(脳腫瘍)

GLIOMA:悪性転化が無いかどうかの確認検査

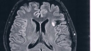
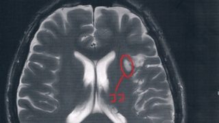
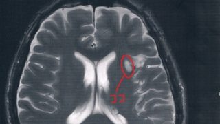
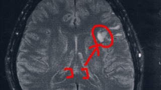
前回10月の定期検査で腫瘍が大きくなってる↓かもしれないとの診断で検査時期を早めて、造影剤も注射してMRI検査をすることに。結果から言って、造影剤の入り込みも無く悪性転化は無いとのこと。言語検査に結果も特に問題無し。まあ、SLTA標準失語症...
1)グリオーマ神経膠腫(脳腫瘍)

GLIOMA:手術後51ヶ月目の検査

半年ごとの定期検査のために久しぶりに病院に戻った。2014/6/23の覚醒手術から約51か月になる。MRI検査の結果、半年前と比べても変化は無いように見えるが、一年前やそれ以前の画像と比べると若干変化があるようにも見える。と先生が言う。今回...
1)グリオーマ神経膠腫(脳腫瘍)

GLIOMA:手術後44ヶ月目の検査

半年前(2018/3/8)の検査の記録。ブログに追加するのを忘れていたらしい。2014/6/23の覚醒手術から約44か月になる。MRI検査の結果、半年前と比べても変化は無し!今回2018/3/8(手術後44か月)のMRI画像前回2017/9...
1)グリオーマ神経膠腫(脳腫瘍)

GLIOMA:手術後45ヶ月目の検査

半年ごとの定期検査のために久しぶりに病院に戻った。2014/6/23の覚醒手術から約45か月になる。MRI検査の結果、半年前や一年前と比べても変化は無し!でも、術後3年以上が経って冷静に自分の状況を観察してみると言葉が出にくい感じはある。今...
1)グリオーマ神経膠腫(脳腫瘍)

GLIOMA:手術後39ヶ月目の検査

半年ごとの定期検査のために久しぶりに病院に戻った。2014/6/23の覚醒手術から約39か月になる。MRI検査の結果、半年前や一年前と比べても変化は無し!今回2017/9/7(手術後39か月)のMRI画像前回2017/3/9(手術後33ヶ月...
1)グリオーマ神経膠腫(脳腫瘍)

GLIOMA:手術後33ヶ月目の検査

半年ごとの定期検査のために久しぶりに病院に戻った。2014/6/23の覚醒手術から約33か月になる。MRI検査の結果、半年前や一年前と比べても変化は無し!残っている腫瘍は悪性転化していませんでした。まだまだ大丈夫。これからも没問題!今回20...
1)グリオーマ神経膠腫(脳腫瘍)

GLIOMA:手術後27か月目の検査

半年ごとの定期検査のために久しぶりに病院に戻った。2014/6/23の覚醒手術から約27か月になる。MRI検査の結果、半年前や一年前と比べても変化は無し!残っている腫瘍は悪性転化していませんでした。まずは安心。今回2016/9/8(手術後2...
1)グリオーマ神経膠腫(脳腫瘍)

GLIOMA:手術後21か月目の検査

半年ごとの定期検査のために久しぶりに病院に戻った。2014/6/23の覚醒手術から約21か月になる。残っている腫瘍が悪性転化していないか、いつも気になっている。ずっとおとなしい腫瘍のままでいてくれればいいのだが、、、、MRI検査の結果、半年...
1)グリオーマ神経膠腫(脳腫瘍)

GLIOMA:血液脳関門を越えて届く薬

脳の血管には血管脳関門という機能があって、脳にとって余計な物質を排除する仕組みがある。なので、変なものを食べても脳には届かないようになっている。ところが血液脳関門のせいで、薬を飲んでも脳に届けることができない。今現在、血液脳関門を越えて悪性...
1)グリオーマ神経膠腫(脳腫瘍)

GLIOMA:手術後16か月目の検査

半年ごとの定期検査のために久しぶりに病院に戻った。2014/6/23の覚醒手術から約16か月になる。言語中枢の保存のためにあえて取らなかった腫瘍がどうなっているか気になる。手術時の生検で腫瘍の悪性度が低いことが分かっているけど気になる。気に...
1)グリオーマ神経膠腫(脳腫瘍)

GLIOMA:手術後一年

6/23で脳腫瘍の開頭手術から一年が過ぎました。なんとか無事に社会復帰したし、運動もできるし体力も手術前と同じくらいに戻っています。そして、この記念日にアムステルダムにいます。残念ながら?出張で来てます。長距離の飛行機搭乗も問題ありませんで...
1)グリオーマ神経膠腫(脳腫瘍)

GLIOMA:お礼参り

1年前、手術の成功祈願のため広峰神社と随願寺に自転車で登った。一年が経ち、体力が手術前の状態に戻ったことを確認したいので、また自転車で登ることにした。神さま仏さまにお礼をしていないことも気になってたし、、、ちょうど一年でいい区切りだし。あさ...
1)グリオーマ神経膠腫(脳腫瘍)

GLIOMA:手術後初の飛行機搭乗

3月19日に主治医に相談したら全然問題ないといわれて、飛行機での出張が解禁になった。そして、それぞれ別の日にですが韓国と香港に行ってきました。。。。全然何とも無かったです。飛行機に乗る前にラウンジでお酒も結構飲んで、飛行機の中でも飲んだけど...
1)グリオーマ神経膠腫(脳腫瘍)

GLIOMA:最新の論文(遺伝子の違いで3分類 治療法選択に道)

自分が持っている脳腫瘍の神経膠腫は原因不明で未解明の部分が多いらしいんだけど、今朝ネットのニュースで遺伝子の解析で悪性度による違いが判明したとのこと。今回は、京大と名古屋大学を中心とする研究チームが発見したらしい。自分が手術を受けた病院でも...